
背景介绍
当下奶业行情低迷,供需严重不平衡,牧场生存困难,如何提质增效成为所有养牛人必须面对的问题。正因如此,做好奶牛繁育的工作,提高首配受胎率,减少空怀比例,缩短产犊间隔,在当下的困难局面中显得尤为重要。奶牛同期发情处理在牧场的繁殖管理具有非常重要的作用,应用十分广泛。各种同期方案的基础为同期排卵(Ovsynch)程序,亦称为“079”程序,即第0天注射GnRH,第7天注射PGF,第9天注射GnRH,16-18h后进行人工输精,程序流程参见图1。

图1 Ovsynch 程序示意图
在同期程序中的各个节点的孕酮浓度对程序的使用效果至关重要,尤其是G2时的黄体溶解情况。许多研究表明,G2时孕酮水平偏高(≥0.4ng/ml)的牛,其受胎率显著低于孕酮浓度水平低的牛(参见图2)。

图2 第二针戈那瑞林(G2)注射时孕酮浓度对受胎率的影响
(*引自J. O. Giordano , M. C. Wiltbank , J. N. Guenther et al.)
D-氯前列醇钠(D-cloprostenolsodium)为人工合成的前列腺素(PGF2α)的类似物,能够有效溶解黄体,增强子宫平滑肌的收缩的作用,可用于治疗持久黄体、黄体囊肿而引起的不发情、产后子宫内膜炎防治及促进卵巢、子宫修复等疾病,亦可应用于母畜的同期发情。D-氯前列醇钠作为PGF2α的类似物,它既具有与PGF2α相似的药理作用和临床用途,又克服了PGF2α在体内易被代谢破坏、用量大、性质不稳定等缺点。本试验通过使用“递胎素”(D-氯前列醇钠注射液)与氨基丁三醇前列腺素F2α对比,比较使用同期后的受胎率,为牧场临床使用提供了试验依据。
试验分组
1. 时间与地点
本试验起止时间为2024年4月至5月,在西北XX牧场进行。

2. 试验动物
供试牛群为本场第1-3胎次444头牛,将奶牛随机分为两组,一组作为对照(氨基丁三醇F2α组),一组作为试验(递胎素组)。供试牛群实行舍饲,饲喂与管理条件相同。


试验现场
3. 试验方案
在产后第46天对母牛采用“双同期”方案(参见图3、4)进行同期发情处理,即第46、56、63、72天注射戈那瑞林,第53、70、71天注射氨基丁三醇F2α(对照组)或“递胎素”(试验组)进行处理。处理结束后对母牛进行人工输精,配种后32 d左右运用B超进行妊娠检查。

图3 对照组试验方案

图4 试验组试验方案
结果与分析
试验组处理母牛161头,孕检呈阳性为111头,妊娠率为68.94%,对照组处理母牛283头,孕检呈阳性为163头,妊娠率为57.6%,试验组妊娠率显著高于对照组。比较不同胎次母牛处理后的受胎率,试验组的妊娠率也都高于对照组,试验结果参见表1。
表1 试验数据统计表


图5 对照组与试验组受胎率结果比较

图6 定时输精时优势卵泡


图7 发情期卵巢状态
(左侧:子宫状态;右侧:成熟卵泡)


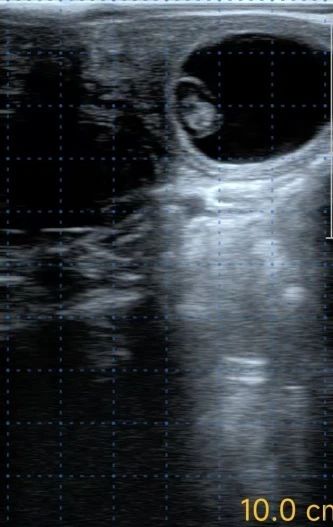
图8 孕检结果成阳性的B超图片
上述试验结果表明,在成母牛产后使用“递胎素”执行双同期方案可显著提高首配受胎率,与对照组相比,首配受胎率提升达6%以上。“递胎素”在牧场繁殖中的应用,能提高牧场的繁殖效率,缩短产犊间隔,为牧场实现提质增效,优化繁殖管理提供了新的思考方式和达成路径。
人员介绍

罗星
宁波第二激素厂
奶牛技术服务经理
l 从事奶牛繁殖育种工作10余年,有万头牧场工作经验,曾就职于集团化牧场从事繁育管理工作。
l 擅长:奶牛同期定时输精流程方案设计、难孕牛诊断及治疗、B超应用操作、繁殖数据分析及奶牛繁殖问题解决方案等。
